CABINET DU DOCTEUR ANNE EVEN-RENAUDON
Exercice réservé à l'orthodontie
Accueil
Cabinet
Plan d'accès
Nos conseils
Orthodontie précoce
Orthodontie pour les adolescents
Orthodontie pour les adultes
Orthodontie invisible
Pose des bagues
Contact
Prendre RDV en ligne
2 allée des Peupliers, 91380 Chilly-Mazarin
+33 1 69 09 78 20
CABINET DU DOCTEUR ANNE EVEN-RENAUDON
Exercice réservé à l'orthodontie
Accueil
Cabinet
Plan d'accès
Nos conseils
Orthodontie précoce
Orthodontie pour les adolescents
Orthodontie pour les adultes
Orthodontie invisible
Pose des bagues
Contact
Prendre RDV en ligne
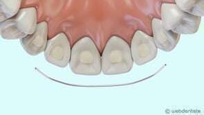
Fil de contention
Vidéos 3D
Partager
Partager
Twitter
Partager
Partager
Envoyer
Copier
Imprimer
CABINET DU DOCTEUR ANNE EVEN-RENAUDON
Conditions Générales Utilisation
Politique de confidentialité et charte cookie
Mentions légales
Charte déontologique
Ordre national
Annuaires chirurgiens dentistes
2 allée des Peupliers
91380
Chilly-Mazarin
+33169097820
Création par
Connexion