CABINET DU DOCTEUR ANNE EVEN-RENAUDON

Exercice réservé à l'orthodontie
2 allée des Peupliers, 91380 Chilly-Mazarin
+33 1 69 09 78 20
CABINET DU DOCTEUR ANNE EVEN-RENAUDON

Exercice réservé à l'orthodontie

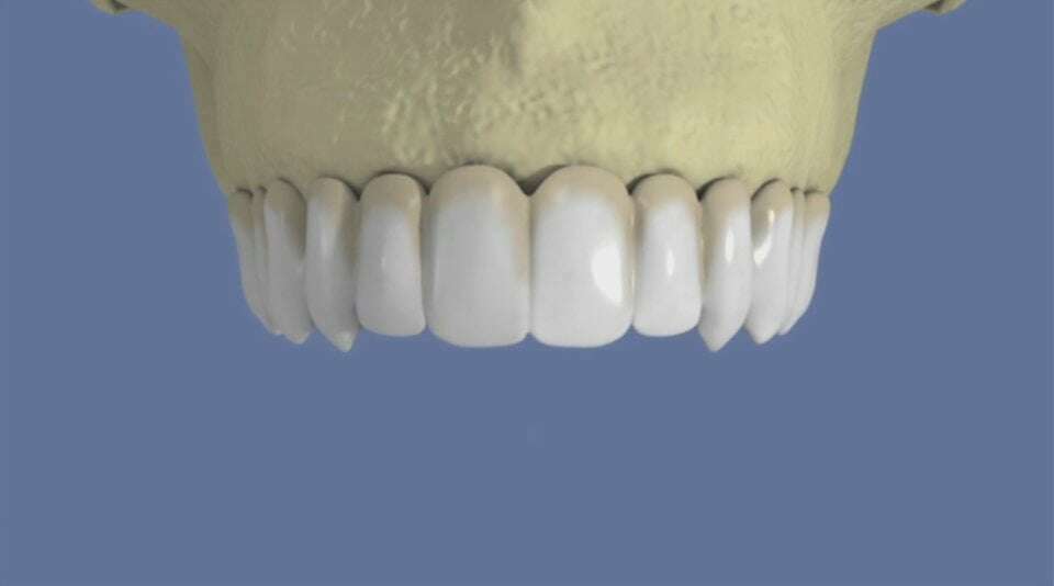
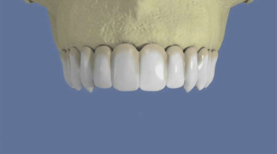
Maxillaire : bridge vissé sans fausse gencive


video-play-icon

Création par Webdentiste

Connexion