CABINET DU DOCTEUR ANNE EVEN-RENAUDON

Exercice réservé à l'orthodontie
2 allée des Peupliers, 91380 Chilly-Mazarin
+33 1 69 09 78 20
CABINET DU DOCTEUR ANNE EVEN-RENAUDON

Exercice réservé à l'orthodontie

Traitement orthodontique : les règles du succès

Nettoyage des brackets avec brossette interdentaire

L'hygiène en orthodontie

Contention de Hawley

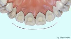
Fil de contention

Conditions de réussite d'un traitement orthodontique

Le succès d’un traitement d’orthodontie dépend du diagnostic et des soins prodigués, mais également de votre coopération.

Affichage des articles 1-6 sur 10

Création par Webdentiste

Connexion